White Spot On Floor Of Mouth

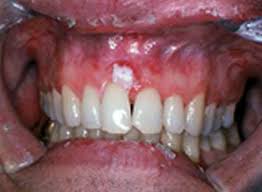
This Is A Picture Of White Spot Lesion Wsl Formation Mighty Brace Was Created In Part To Help Increase Motivational Techni Orthodontist Braces Off Dentistry

This Is A Picture Of White Spot Lesion Wsl Formation Mighty Brace Was Created In Part To Help Increase Motivational Techni Orthodontist Braces Off Dentistry

Self Oral Cancer Screening Socs Education Program School Of Dentistry Lsu Health New Orleans

Self Oral Cancer Screening Socs Education Program School Of Dentistry Lsu Health New Orleans

Should I Be Worried About A White Spot In My Mouth Herrick Dental

Should I Be Worried About A White Spot In My Mouth Herrick Dental

Fordyce Spots White Bumps On Lips Symptoms Causes Treatments Ri Skinkraft

Fordyce Spots White Bumps On Lips Symptoms Causes Treatments Ri Skinkraft

How To Clean A Retainer Diy Remedies Retainers Diy Natural Products

How To Clean A Retainer Diy Remedies Retainers Diy Natural Products

Leukoplakia Nhs

Leukoplakia Nhs

Leukoplakia Nhs

The floor of mouth is a horseshoe shaped area under the tongue between the sides of the lower jawbone the mandible.

White spot on floor of mouth. White spots in the mouth or patches result from pathogens such as bacteria viruses and fungi which inflame the lining of the mouth causing swelling redness and ulcer formation. Look at the floor of the mouth for changes in colour that are different than normal. An irritant like a rough tooth broken denture or tobacco can cause cell overgrowth and produce.

Hydrogen peroxide remedy for mouth sores. Canker sores canker sores are small red white or yellow sores that can occur on the roof of your mouth tongue or the inside of your lips and cheeks. Canker sores aren t contagious.

Ulcers in most occasions form in the inside of the mouth but may also occur on the tongue and lips or in company with more generalized conditions such as cancer. Home remedies to get rid of white spots in mouth 1. Using a soft bristled toothbrush after meals and flossing daily.

Press your finger along the floor of your mouth and underside of your tongue to feel for any unusual lumps swellings or ulcers. Improper use of hydrogen peroxide can burn your mouth and cause further. Oral thrush normally develops in people who have a compromised immune system.

Leukoplakia is a white or gray patch that shows up on your tongue the inside of your cheek or on the floor of your mouth. Avoiding irritating foods such as citrus fruits spicy foods and acidic. You might be able to reduce the frequency of white patches in mouth and other canker sore symptoms by.

White spots in the mouth are sometimes referred to as oral thrush. When a malignant tumor grows in this area it is called floor of mouth cancer. One of the most common causes of having white spots in the mouth is a possible fungal infection and candida albicans can be one of the major culprits.

My Experience With Perioral Dermatitis And How I Got Rid Of It Forever With Only 2 Ingredients Perioral Dermatitis Perioral Perioral Dermatitis Treatment

My Experience With Perioral Dermatitis And How I Got Rid Of It Forever With Only 2 Ingredients Perioral Dermatitis Perioral Perioral Dermatitis Treatment

Oral Frictional Hyperkeratosis Clinical Presentation History Physical Causes

Oral Frictional Hyperkeratosis Clinical Presentation History Physical Causes

Torus Mandibularis Wikipedia

Torus Mandibularis Wikipedia

Pin On Dental Care

Pin On Dental Care

What Is Mandibular Tori Westermeier Martin Dental Care

What Is Mandibular Tori Westermeier Martin Dental Care

Small White Spots On The Lips Mdedge Dermatology

Small White Spots On The Lips Mdedge Dermatology

Oral Cancer Images The Oral Cancer Foundation

Oral Cancer Images The Oral Cancer Foundation

1 Shares Pin Share Tweetwhite Spots Also Known As Vitiligo Is A Condition Where The Normal Skin Can Develop Some White A Spots On Face Vitiligo Cure Skin Spots

1 Shares Pin Share Tweetwhite Spots Also Known As Vitiligo Is A Condition Where The Normal Skin Can Develop Some White A Spots On Face Vitiligo Cure Skin Spots

Majestic Oral Care Facts Dentistselfie Oralcareforkids In 2020 Cancer Facts Cancer Awareness Months Oral

Majestic Oral Care Facts Dentistselfie Oralcareforkids In 2020 Cancer Facts Cancer Awareness Months Oral

Mouth Sores And Inflammation Mouth And Dental Disorders Merck Manuals Consumer Version

Mouth Sores And Inflammation Mouth And Dental Disorders Merck Manuals Consumer Version

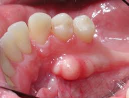
Salivary Gland Stones Nhs

Salivary Gland Stones Nhs

What Causes Mouth Sores Oral Health Aspen Dental

What Causes Mouth Sores Oral Health Aspen Dental

How Can We Detect Oral Cancer Quora

How Can We Detect Oral Cancer Quora

Dental Fluorosis Treatment White Spots On Teeth Fluoride

Dental Fluorosis Treatment White Spots On Teeth Fluoride

Source : pinterest.com